Новосибирск ваш город?
Да
Выбрать другой город

УЗИ-аппарат
Canon Aplio 300

В наличии
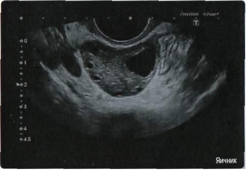
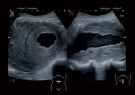
Система Aplio 300 – идеальный вариант для тех, кому нужна надежная и эффективная работа оборудования в ежедневной практике. Эта высокопроизводительная, универсальная и экономичная система предлагает получение качественных изображений с впечатляющей глубиной и детализацией в самых разных областях медицины.
В корзине
Лизинг
Доставка и лизинг по всей России
Включая Дагестан, Чечню и Крым
Гарантия
Гарантия на медицинское оборудование от производителя!
Послепродажный сервис
Инженерная поддержка
Инструктаж по монтажу и обучение персонала включены в стоимость
Гибкие условия
Оперативная доставка
Лизинг и доставка оборудования в наличии от 1 рабоего дня

С данной моделью ультразвуковой системы специалист сможет легко создавать отчеты с информационными данными о прошлых исследованиях, вести базу данных, передавать ее на компьютер, вносить изменения и т.д. Aplio 300 всегда будет оставаться одним из лидеров продаж благодаря оптимальной стоимости, эргономичной платформе, мобильности и гарантии высокой эффективности работы.

Особенности и преимущества Aplio 300

  • Высокая скорость работы обеспечивается современной аппаратной платформой.
  • Превосходное качество визуализации и детализации анатомических структур для широкого спектра областей использования.
  • Комплекс функций и приложений для улучшения изображения.
  • Аппараты Aplio имеют удобный интерфейс консоли, просмотра, управления данными, создания отчетов, работы в сети.
  • Быстрые клинические настройки, программируемое меню быстрого запуска.
  • Широкие возможности настройки консоли и автоматизации рабочего процесса для снижения затрат времени на рутинные действия.

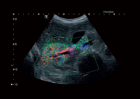
Режимы визуализации Canon (Toshiba) Aplio 300

B, M, PWD, CWD, ЦДК, THI, 4D, динамический поток (Dynamic Flow), энергетический доплер (Power), контрастная эхография (CHI 2D) и комбинированные режимы, включая следующие: B/M, B/PWD, BDF/PDW, BDF/MDF,BDF/MDF/PWD, 2D/CWD, BDF/CWD (BDF-режим изображения, в котором CFM изображение накладывается на B-режим изображения, MDF-режим изображения, в котором CFM изображение накладывается на M-режим изображения)

Аппаратные и программные функции

  • TDI - тканевой доплер
  • ApliPure - технология повышения качества изображения
  • MicroPure - технология обнаружения небольших концентраций солей кальция
  • Precision Imaging - технология получения изображений мелких деталей с четко очерченными границами и высокой однородностью
  • STIC - исследование сердца плода в режиме объёмной визуализации
  • 3D Color - цветное 3-х мерное изображение
  • STIC Color - цветная объёмная визуализация сердца плода
  • Эластография
  • Fusion - функция позволяет в реальном времени сопоставлять «живые» УЗ изображения и изображения, полученные на КТ, МРТ или других УЗИ аппаратах
  • 2D WMT - технология отслеживания движения стенки сердца
  • MPR - функция мультипланарной реконструкции для визуализации исследуемой области в 3-х ортогональных плоскостях
  • FlyThru - функция виртуального перемещения по полым структурам, например, сосудам
  • CHI - контрастное гармоническое изображение
  • TSI - контрастное исследование с высоким механическим индексом
  • VRI - распознавание кровотока и тканевой перфузии
  • IMT - автоматическое измерение толщины интима-медиа
  • Стресс-эхо для исследований с фармакологической и физической нагрузкой и др.

Купить УЗИ аппарат Toshiba Aplio 300

Продаем оборудование в лизинг, сотрудничая с несколькими лизинговыми компаниями:

  • Вы оставляете заявку
  • Наш менеджер готовит предложение на оборудование и график платежей
  • Вы получаете одобрение в лизинговой компании и заключаете договор лизинга
  • Лизинговая компания приобретает оборудование и передает вам в лизинг
  • Вы пользуетесь медицинским оборудованием
  • Вносите регулярный лизинговый платёж, по окончании договора оборудование переходит в вашу собственность

Звоните по телефону 8 800 700 21 33 уже сейчас, чтобы получить выгодную цену и лучшие условия финансирования. Потом будет дороже! Оставьте заявку на коммерческое предложение по аппарату Toshiba Aplio 300

Технические характеристики
Диагональ монитора:
19 дюйм
Тип аппарата:
Стационарный
Эластография:
Нет
Класс аппарата:
Высокий
Поддерживаемые датчики:
Матричные
Количество портов:
3
Страна производитель:
Япония
Бренд:
Canon
Категория:
Общая визуализация, Гинекология и акушерство, УЗИ для кардиологии
Доступные опции
Трехмерная реконструкция ЦДК:
Нет
Объемное сканирование:
Да
Трехмерная реконструкция методом свободной руки:
Нет
Эластография сдвиговой волной/Эластометрия:
Нет
Компрессионная эластография:
Нет
Автоматическая подстройка рамки допплера:
Нет
Режим полной автоматизации:
Нет
Недопплеровская визуализация кровотока:
Нет
Тканевой допплер:
Нет
Направленный энергетический допплер:
Нет
Энергетический допплер:
Да
Высокочастотный импульсный допплер:
Нет
Цветовой допплер:
Да
Постоянно-волновой допплер:
Да
Импульсно-волновой допплер:
Да
Анатомический М-режим:
Нет
Панорамное сканирование:
Нет
Режим B-сканирования с отклонением угла:
Нет
Трапециевидное сканирование/Виртуальный конвекс:
Нет
Триплексное сканирование:
Да
Дуплексное сканирование:
Да
Цветной M-режим:
Нет
M-режим:
Да
B-режим, Двухмерное сканирование:
Да
Область применения
Общая визуализация:
Да
Кардиология:
Да
Гинекология:
Да
Компоненты дополнительной поставки
IMT (Intima Media thickness):
Да
STIC:
Да
Стресс-эхо:
Да
ApliPure:
Да
MicroPure:
Да
Precision Imaging:
Да
3D Color:
Да
2D WMT:
Да
MPR:
Да
FlyThru:
Да
CHI:
Да
TSI:
Да
VRI:
Да
TDI:
Да
STIC Color:
Да
Онлайн калькулятор
Цена
Ориентировочная цена модели
Аванс
10% 100%
 
Срок лизинга
12 месяцев 36 месяцев
 
Ежемесячный платёж
Первоначальный взнос
* Рассчет платежа носит информационный характер и не является публичной офертой.
Условия лизинга индивидуальны для каждого договора.
Условия лизинга
  • По всей России (Включая Крым, Дагестан и Чечню)
  • Авансовый платеж от 10% (для УЗИ брендов GE, Mindray и Samsung)
  • Оформление лизинга от 48 часов
  • Возможность досрочного погашения
  • Лизинг оборудования от 1 года

  • 19" ЖК монитор;
  • 3 активных порта для датчиков;
  • Дисковод CD/DVD;
  • Глубина сканирования: 40 см;
  • Увеличение изображение: в 27 раз;
  • Динамический диапазон: 216 Дб;
  • DVD рекордер / видеомагнитофон;
  • Подогреватель геля;
  • Двойной ножной переключатель;
  • Биопсийные насадки для датчиков;
  • Видеопринтер цветной;
  • Сохранение и обработка "сырых" данных;
  • Панорамное сканирование;
  • Транспищеводная эхография;
  • Стресс-эхо исследования с фармакологической и физической нагрузкой;
  • Контрастная эхография;
  • Трапециевидное сканирование;
  • Специальная фильтрационная технология выявления микрокальцинатов в молочной железе MicroPure;
  • Отображение физиологической информации ЭКГ/ФКГ (фонокардиографии - графической регистрации сердечных тонов и шумов);
  • Трехмерная эхография в реальном времени с использованием специализированных 4D датчиков;
  • Программа анализа сердца плода в трех проекциях в реальном времени 4D Stick;
  • Режим пространственного и частотного кодирования в реальном масштабе времени в комбинации с методикой подавления шумов - визуализация по типу МРТ;
  • Прецизионная визуализация (Precision Imaging) для послойного дифференцирования тканевых структур и высокой детализации;
  • Стандарт DICOM 3.0;
  • Автооптимизация изображения в B-режиме по акустическим свойствам тканей;
  • Автооптимизация допплеровского спектра.
Давайте обсудим
Покупку или лизинг
медицинского оборудования